43/46 of daily Lenten blog…
Today I had a couple interesting folks to see.
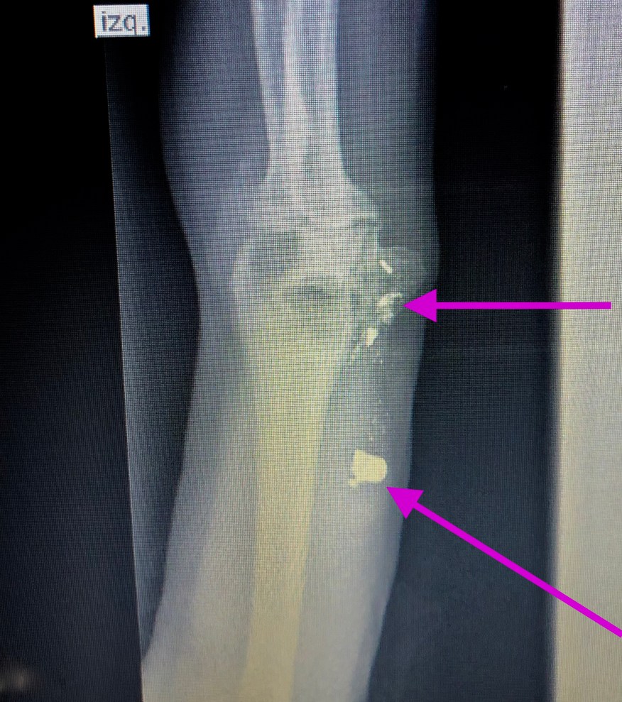
Moe (not his real name) 53, tells me he was sitting in his home this past December when a bullet tore through his elbow, fracturing it. The bullet wasn’t intended for him, but bullets have a funny way of traveling a long ways before they stop. He eventually discovered who did it, but says he didn’t want to have anything to do with this person, so he didn’t pursue any retribution. We are trying to regain some of his function now, but he does have some nerve damage unfortunately.

Bullet fragments pink arrows.
Later, I saw a young lady with Congenital Adrenal Hyperplasia, also known as CAH (not, ‘Caw’ like a bird:

CAH is interesting. It affects some of the most powerful hormones in your body. Female babies are sometimes born with very ambiguous genitalia, and often a surgery is done to correct it. In the States we screen all babies at birth, so you will almost never see an adult that has full blown symptoms. Lisa (not her real name) unfortunately, has all the symptoms of it. It wasn’t treated aggressively as a baby, so her growth was stunted and she has male pattern baldness, among other issues.
For one fellow I saw, I felt pretty useless. Apu (not his real name) is 70, has had a stroke, and has severe arthritis in just about all his joints. He hasn’t walked much in 6 years. And, he has cataracts, and can hardly see. I literally couldn’t do much for any of those problems, other than a little bit of pain relief. We do have a surgeon who comes periodically to do cataract surgery, but he is in such high demand that we are booked out for a year. Sometimes, all I can do is let people know that I care.
There was the pleasant 84 year old gentleman, Troy McClure, (not his real name) that was following up from his heart attack 2 weeks ago. At the time, he had Chest pain which turned out to be a Myocardial Infarction, then subsequently went into a rapid heart rate due to his heart rhythm problem (atrial fibrillation) and finally this resulted in heart failure. After one night in the hospital, and a few well aimed medications, he wanted to go home. We talked him into staying 2 more nights, however, while we fined tuned a few things. In the States he would have had a cardiac catheterization, but that’s one procedure not in our bag of tricks. The good news is that he was happy as a clam today.
I saw another guy named Ralph Wiggum (not his real name) who has a history of prostate cancer. This eventually caused some blockage of his kidney tubes, so we put some stents in to keep them open. Finally, we performed an orchiectomy. No, that’s not the removal of orchid tattoos from your skin. It’s a lot worse—we cut your nards off… Sounds brutal, but this is a very effective treatment for prostate cancer. It’s usually in older fellas who are past the point of needing those things, really.
One last person to mention is Smithers (not his real name), a 75 yr old chap who we admitted to the hospital awhile back with a bladder problem. Actually, he couldn’t pee so we put a Foley Catheter/Sonda (see day 10 for a more than detailed description of this) in him and removed 6 liters of urine. Picture a 2 liter bottle of Pepsi. Now imagine 3 of those in your bladder. Yeah. He’s doing better but is requiring months of treatment with the Foley/Sonda.
Speaking of the specialty of urology (which is the branch of medicine that focuses on surgical and medical diseases of the male and female urinary-tract system and the male reproductive organs), it is actually a very interesting field. The challenging thing for us in the ER is that men often present in complete and utter crisis, due to urologic emergencies. Usually at approximately 3 AM in the morning, their bladder decides to completely close off and fill up with urine to the point of exploding. They come to the ER literally in tears and we have to figure out how to get the pee pee out. Then, after I fail 3-4 times to get the tube in there, I get to wake up one of our surgeons (Dr. Dave loves this) to come down and fix it (and then it ain’t gonna be purdy, fellas). You see ladies, this is the dark side of being a man that you didn’t know about. Sure, it seems so convenient to stand up and urinate in the bathroom, or sneak behind a tree and get er’ done, but there is a price to pay later on in life for us men. If that thing is malfunctioning, painful things are gonna get put up there.
Another unwritten rule in the “I’ve got a problem with my boy parts” handbook, is that if you start bleeding profusely from your penis, wait until about 1-2 AM to go to the ER. That way you and your doctor can have a very private, un-humiliating conversation in the middle of the night about how to rectify the bloody dilemma. Again, another fun time to call my buddies to come down and help. Thanks guys…
Editors note: If you are reading this and have endured some penile torture personally, we feel for you, kind sir. Ryan doesn't mean any disrespect, even though he's poked a bit of fun at your expense. Remember, Ryan is a man, and his day will come...
Photo of the day:
Pine cone ginger.

3 more days of Lent…
